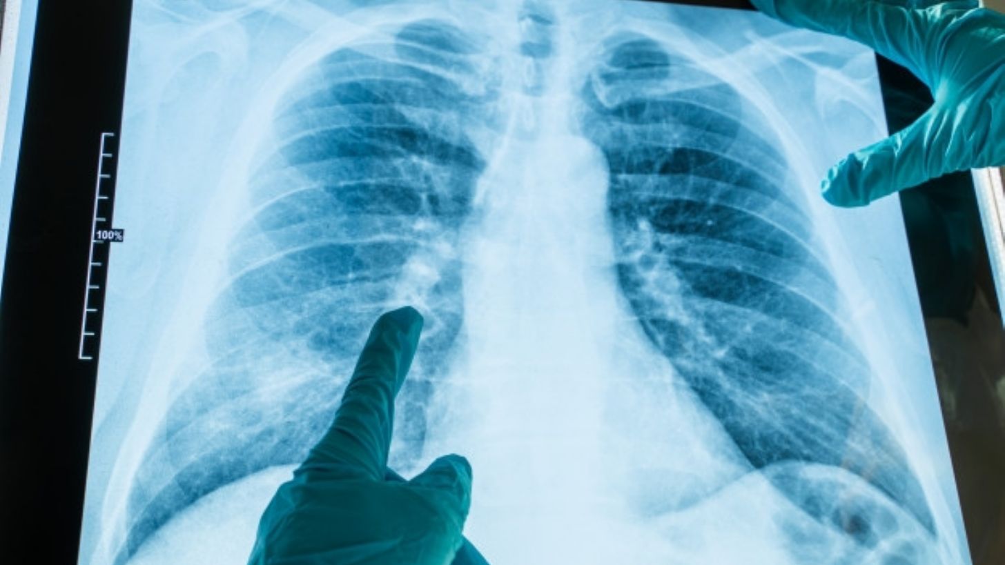
Argentina.- No es ningún secreto que la neumonía puede convertirse en una secuela causada por el Covid-19, sin embargo, recientemente se ha descubierto que el virus puede provocar otra versión de esta enfermedad en los pulmones calificada como bilateral.
Da clic aquí y descubre más información de Tribuna Sonora en nuestra página de Google News
A diferencia de la neumonía clásica, este nuevo tipo es mucho más grave y aún no se conoce a ciencia cierta todos los efectos que puede causar en el funcionamiento de los pulmones, pero los expertos creen que podría ser mortal, según sea el desarrollo de la infección por coronavirus.
De acuerdo con expertos del Sanatorio Delta de la ciudad de Rosario, en Argentina, la neumonía bilateral se trata de una especie de taponamiento que detiene la circulación del oxígeno.
Los especialistas aseguran que el 80 por ciento de las hospitalizaciones por SARS-CoV-2 tienen este tipo de complicaciones que se relación directamente con el daño a las células sanas causado por la presencia del virus.

Afortunadamente si es identificada y tratada a tiempo, los pacientes pueden recibir terapias de oxígeno que los ayude a respirar mejor, mientras el resto del cuerpo comienza a ser atendido por los especialistas para disminuir el impacto de la infección.
Esta no es la primera vez que se habla de la neumonía bilateral, ya que semanas atrás un artículo publicado en The Lancet concluyó que muchos de los pacientes con este efecto secundario se recuperan, pero otros pueden padecerla durante meses.
Fuente: Infobae
