Monterrey, Nuevo León.- A través de redes sociales comenzó a circular una denuncia pública de un médico residente del Instituto Mexicano del Seguro Social (IMSS) en la que narra cómo, al salir del Hospital 25 en Monterrey, lo atacaron con un desarmador.
Según el texto que ya circula en Facebook, fue víctima de un asalto, y aunque gritó para que los automovilistas o la gente que pasaba lo socorrieran, nadie se acercó y los delincuentes le clavaron la herramienta en le pecho. Los hechos ocurrieron el 21 de febrero, a las 10 de la noche, aproximadamente.
Leer también: (VIDEO) "¡Ayúdenme!": Paciente en el Hospital General del IMSS intenta suicidarse
Juan Carlos Soria, el nombre del médico y quien creo la publicación, pidió a sus contactos compartir su historia, pues además de que el hecho fue muy violento, al grado de que le cambió la vida para siempre, él quiere denunciar y frenar la violencia que atormentan a los médicos mexicanos:
Mi vida ha dado un giro completo y nunca volveré a ser la misma persona, pero el amor por mi familia, amigos , por mi carrera y mis pacientes siempre prevalecerá y es lo que me mantiene vivo! Exijo que encuentren a las personas que me hicieron esto y se haga justicia por mi y por todos los médicos y personas que hemos sido victimas de la violencia".
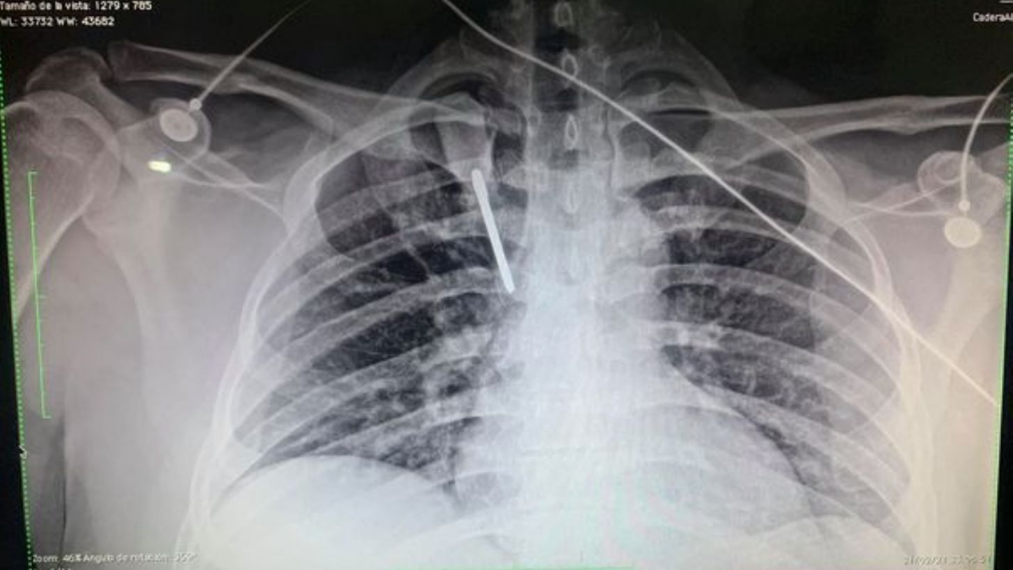
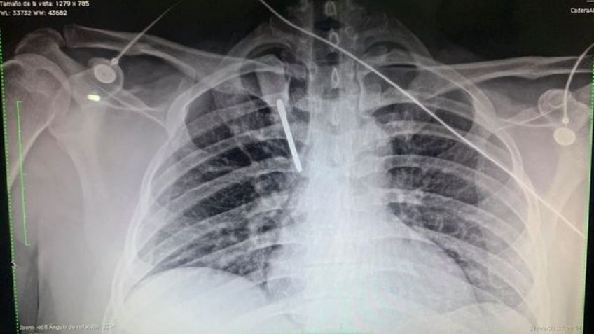
Junto a la publicación, compartió unas fuertes fotografías en las que se ven los rayos equis que muestran la herramienta usada como arma y a él, quien estuvo en un estado de salud crítico.
También puedes leer: Entran más de 10 mil médicos al IMSS en pandemia por Covid-19; serán residentes
Seguí gritando por mi vida pidiendo auxilio, los autos pasaban pero nadie se detuvo, acto seguido siento un golpe en el pecho y me tumban, los dos me miran y al escuchar que se acercaba gente salen corriendo hacia el taxi lo encienden y huyen".
Hasta el momento, no se sabe si el médico ya realizó alguna denuncia ante las autoridades correspondientes; por su parte, la publicación ya fue compartida más de 10 mil veces y está repleta de comentarios de apoyo.
Fuente: Facebook Juan Carlos Soria Maturino
