¿Lamentable: 30% de los pacientes con Covid-19 tienen secuelas pulmonares por un año
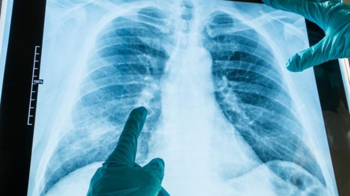
3/6/2021 | Un nuevo estudio asegura que los pacientes con Covid-19 tiene secuelas pulmonares después de un año de haberse recuperado exitosamente de la enfermedad
3/6/2021 | Un nuevo estudio asegura que los pacientes con Covid-19 tiene secuelas pulmonares después de un año de haberse recuperado exitosamente de la enfermedad
1/6/2021 | Expertos aseguran que la neumonía bilateral es la secuela más peligrosa del Covid-19, ya que puede ser padecida por meses y causar consecuencias mortales
22/5/2021 | Científicos descubre anticuerpos contra el coronavirus en los pulmones, lo que podría ser de mucha utilidad en caso de una reinfección
4/5/2021 | En este Día Mundial del Asma conoce algunos de los factores que pueden llegar a causar esta enfermedad tan común
4/5/2021 | Un grupo de científicos han desarrollado una novedosa tecnología para estudiar al virus de Covid-19 y encontrar nuevas terapias
Envíanos tu mensaje y nuestros reporteros se acercarán al lugar de los hechos.
denunciaciudadana@tribuna.com.mx Haz clic y envía tu denuncia. Tu información será tratada con total confidencialidad.