Ciudad de México.- Muchas personas ven como una situación normal que las encías les sangren cuando se lavan los dientes, sin embargo, esto no es para nada común y se trata de una considerable señal de alarma de que se ha comenzado a manifestar una infección, que aunque es tratable, puede degenerar en otros problemas de salud.
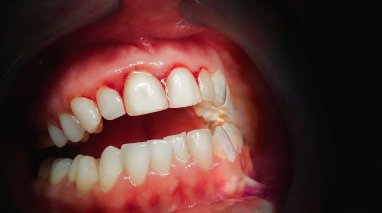
La gingivitis es una enfermedad relacionada con los dientes, se presenta con un enrojecimiento e inflamación de la zona de las encías que rodea la base de los dientes, en caso de no tratarse, esta afección puede degenerar en periodontitis y posteriormente comenzarías a perder tus dientes.
Esta enfermedad tiende a manifestarse por varias razones, pero la principal es una mala higiene bucal, ya que los restos de comida se van convirtiendo en sarro y en placa, misma que contiene bacterias que infectan a tu encía.
- Síntomas de la gingivitis
- Inflamación en las encías.
- Color rojo intenso similar al de la sangre en la base de los dientes
- Mal aliento
- Encías sensibles
Es importante que se tome en serio esta enfermedad ya que las bacterias pueden invadir tu organismo, lo que degeneraría en enfermedades respiratorias, diabetes, accidentes cardiovasculares y artritis reumatoide.
Fuentes: Mayo Clinic, Medline Plus
