Monterrey, Nuevo León.- Una de las reglas máximas de los padres de familia es que, bajo ningún concepto, debes apartar la vista de tus hijos, sobretodo cuando son niños menores de 5 años, puesto en menos de lo que te imaginas podrían sufrir algún accidente. Un ejemplo de ello es el que le ocurrió en días recientes al influencer y exparticipante de La Casa de los Famosos México (LCDLFM) Poncho De Nigris, quien compartió una terrible historia en sus redes sociales.
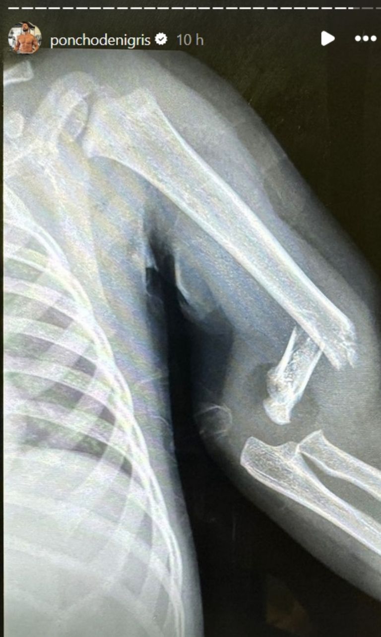
Como es bien sabido, además de ser empresario, actor, bailarín y conductor, De Nigris es padre de familia y cuenta con cuatro hijos (tres de ellos son muy pequeños todavía). Generalmente, se le puede apreciar conviviendo con sus vástagos o dándoles alguna lección de vida; sin embargo, recientemente el que se llevó el aprendizaje fue él, luego de que su hijo menor, Toñito, sufriera un accidente de tal magnitud que se le terminó rompiendo el brazo.
La historia la contó el propio Poncho a través de sus historias de Instagram, donde narró que su hijo estaba jugando en la calle con sus hermanos, cuando ocurrió el incidente del que no dio demasiados detalles, solo aclaró que, probablemente, había sido su culpa. Asimismo indicó que, la única razón por la que hizo pública la noticia, fue porque cuando llegó al hospital algunas personas comenzaron a grabarlo, así que no le quedó mayor opción que hablar.
Créditos: Instagram @ponchodenigris
Poncho contó que, cuando llegó al nosocomio, tenía a su “hijo cargando” y le restó importancia a la historia, declarando que el accidente que su pequeño sufrió fue uno que suele sucederle a todos, aunque para él se trataba de una experiencia nueva: “Tuvimos un accidente leve, lo que pasa con los niños, pero nunca nos había pasado… se quebró un bracito Toño por andar jugando en la calle, se me hace que error mío, se me hace”, declaró el amigo de Wendy Guevara.
El esposo de Marcela Mistral aclaró que no se trataba de una situación grave, aunque sí dejó en claro que él mismo sufrió de malestar cuando vio que su hijo había sufrido una herida tan notable como una fractura: “Se siente feo… se siente horrible porque por tu culpa, por nada, se quiebre el brazo de uno de tus hijos”, dijo la celebridad. Finalmente, De Nigris declaró que esta misma situación sirvió como lección también para sus otros hijos, para que fueran más cuidadosos al momento de salir a jugar.
Créditos: Instagram @ponchodenigris
Fuentes: Tribuna
