Ciudad Obregón, Sonora.- Ante el brote de sarampión en algunos lugares de Estados Unidos (EU) y México, incluyendo los cuatro casos confirmados hace algunas semanas en Cajeme, el director de Salud Municipal, Jesús María Espinoza, señaló que es importante que la ciudadanía sepa que la única prevención es la vacuna.
Aquí lo relevante sería aprovechar los recursos que la Secretaría de Salud y los diferentes sistemas de salud nos prestan, que son todas las vacunas, esquemas básicos, completar e iniciar esquemas si por alguna razón no estamos vacunados”, comentó.
Una vacuna es con el fin de inmunizar y prevenir estas enfermedades y podríamos lograr mantenerlas erradicadas”, aseveró Espinoza.
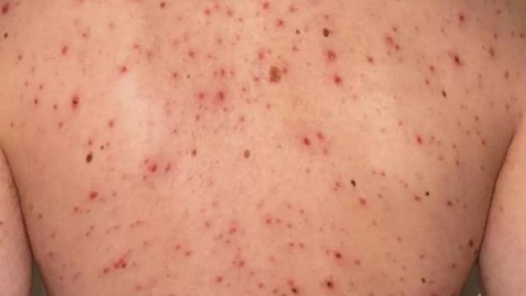
Jesús María Espinoza destacó que la medida de vacunación es indispensable para un exitoso combate de esa enfermedad viral, que desarrolla síntomas característicos de fiebre y otras reacciones del cuerpo, como pequeñas pápulas en la cara que se extienden hacia el cuerpo.
Si presentan algún síntoma por sarampión, acudan a su servicio médico de salud: Instituto Mexicano del Seguro Social, IMSS-Bienestar, Issste, Isssteson, cualquier instituto de salud oficial. Es muy importante evitar las áreas de farmacias y consultas particulares, ¿por qué? por la cuestión de registrar los casos positivos”, culminó.
Fuente: Tribuna
